【生命守护者】苦苦寻找的“他”,竟然是“他们”!一场生命的接力,一群看不见的恩人
“护士,您好,我想找一下……找一下我父亲的救命恩人。”
今年的国庆节假期过后,一位家属带着满满的感激,来到我院心内二科病区,想要当面感谢那位将他父亲从鬼门关拉回来的医生。然而,随着护士长的讲述,他惊讶地发现,那天在病房里与死神赛跑的,并不是某一位“孤胆英雄”,而是一整个拼尽全力的医疗团队。
惊魂一刻
刚踏进病区,他突发急症命悬一线
时间回溯到9月18日上午。62岁的张先生因突发胸痛来到我院心内二科就诊。经检查,他被初步诊断为“急性下壁、右壁、右心室心肌梗死”——这是一种极其危重的心血管急症,必须立刻住院治疗。
然而,谁都没想到,危险来得如此之快。就在张先生刚刚办完住院手续,踏进心内二科病区的一刹那,病情骤然恶化!“心梗”急性发作,一系列危及生命的症状如井喷般出现:血压骤降至60/40毫米汞柱,心脏反复室颤停搏,出现休克、全身抽搐……生命之火,瞬息间微弱得只剩星点。
守护生命双战场
病房按压不息,手术室严阵以待
“快!抢救!”管床医生吕常智的呼救,瞬间触发了科室应急抢救流程。病房与手术室,两个战场同时进入战斗状态。
病房中:回振宇(时任心内二科副主任、现任心内一科主任)临阵指挥,带领吕常智、崔福胜、李绍生等医生,与护士长王颖颖带领的马丽娜等护士组成的抢救团队,立即实施抢救:心肺复苏一刻未停,他们轮流上阵,汗水浸透了白衣。在近一小时的生死鏖战中,电除颤仪先后放电25次。这是25次将患者从死亡边缘拉回的尝试,是25次永不放弃的生命誓言。
心血管介入手术室里:正在为其他患者手术的科室主任宫兆滨接到消息,立即双线指挥,在确保当前手术万无一失的同时,火速组织心血管介入手术团队做好接诊准备,时刻准备开台手术,为张先生开辟出一条生命的“绿色通道”。
这是一场完美的生命接力。前方,病房团队用持续的徒手抢救,为手术赢得了黄金窗口;后方,手术团队已严阵以待,准备施行治标治本的关键的手术。
奇迹诞生
血管打通,生命之花重新绽放
在持续且正确的急救下,奇迹出现了!张先生的室颤症状,在反复电除颤及药物的作用下得以纠正,恢复了自主逸搏心率,初步达到手术要求,被火速转运至心血管介入手术室。

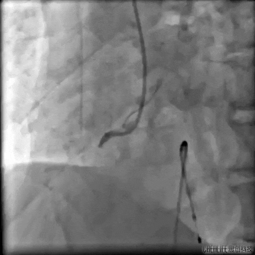
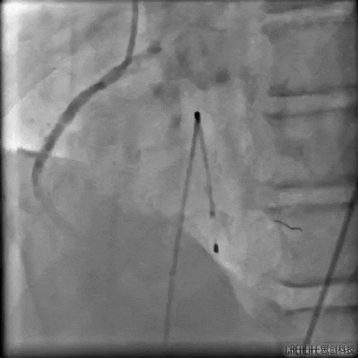
治疗前 宫兆滨主任指挥手术团队,迅速为张先生安装临时起搏器。随着起搏器开始工作,患者血压持续攀升到正常值,心率也从危险的30次/分稳步提升至80次/分,手术条件终于具备!随后,手术团队精准操作,成功打通了张先生阻塞的血管。整个过程历时约40分钟,这场急诊心血管介入手术宣告成功!

治疗后 术后,张先生的血压、心率逐渐回归稳定。经过心内二科医护人员12天无微不至的治疗与护理,他于9月30日康复出院,重获新生。
大爱无声
技术为基,仁心为本
当家属了解完整个抢救过程,他的感激已无法用言语表达。他寻找的“一位”恩人,此刻已经化为了一个无缝协作的英雄群像:有临危不乱的核心指挥,有汗水淋漓的按压接力,有分秒必争的术前准备,有日夜守护的温情照护。
这次高难度抢救的成功,远不止于表现单个科室的技术精湛,更是我院强大的科室团队协作能力与高效应急管理体系的集中体现。它生动诠释了何为“技术为基,仁心为本”:以顶尖医术托起生命的重量,更以团队之爱温暖每一个绝望的时刻。
在丹东市第一医院,“生命至上”的理念已融入每一次应急响应、每一次科室联动、每一次精准操作之中。正是这种植根于医院文化深处的体系力量,让“服务有温度、治疗有技术”不止于口号,而成为守护江城百姓健康最坚实的底气与承诺。