【技术引领·健康丹东】气道瘾疾困扰八年,支气管镜下巧解顽疾
近日,59岁的蒋阿姨在我院呼吸与危重症医学科完成复查,困扰她八年之久的反复咳血等症状彻底消失,右肺中叶病变也已明显吸收好转。这场跨越多年的疑难病症得到了彻底的治疗,不仅为蒋阿姨解除了病痛,更彰显了我院呼吸与危重症医学科在呼吸系统疾病诊疗领域的扎实实力与为民初心。
多年咯血寻病因,精准诊断破谜题
八年前,蒋阿姨劳累后首次出现咳血症状,在省级医院通过支气管镜治疗,虽然症状得到了缓解,但病因并未查明。随着时间的流逝,蒋阿姨的身体情况每况愈下,胸闷、气短、咳嗽等症状逐步出现,并于2023年咳血症状复发。8年间,蒋阿姨和家人去过许多大医院,但引发咳血的原因始终查不出来。
今年的11月初,毫无诱因的咳血第三次袭来,身体上的不适和心理上的折磨,严重影响了蒋阿姨的日常生活。为寻求彻底治愈,蒋阿姨慕名来到我院呼吸与危重症医学科求助。

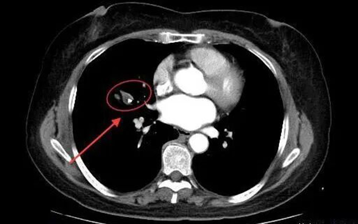
影像检查中,右肺支气管中疑似卡堵异物
周边组织也已出现炎性病变 在完善相关检查后,我院呼吸与危重症医学科医疗团队发现:蒋阿姨的肺部存在双肺结节影、纵隔及左肺钙化灶、主动脉粥样硬化等情况。同时,右肺支气管中有一团炎性病变组织,包裹着异物,疑似造成了支气管卡堵。
镜下取物除顽疾,高超医术护安康
结合蒋阿姨的详细病史与各项检查结果,科室主任吴薇薇带领医疗团队反复研讨、精准研判,最终确定通过支气管镜检查来明确病因并实施针对性治疗。在治疗过程中,医疗团队凭借娴熟的操作技巧和严谨的诊疗态度,成功从蒋阿姨右肺中叶支气管内取出两块质地坚硬的异物,大小分别约为2*2*6mm、2*2*2mm。正是这两块隐藏多年的异物,导致蒋阿姨反复出现咯血、胸闷等不适症状。

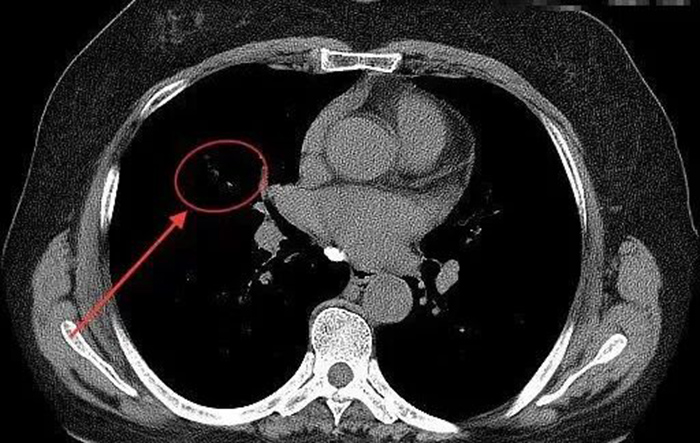
治疗后复查显示,卡堵异物消失
炎性病变也逐渐吸收好转 经过专业的系统治疗后,蒋阿姨各种不适症状彻底消失,检查指标也均趋于正常,术后4天便高高兴兴地出院了。蒋阿姨在我院呼吸与危重症医学科医疗团队的精准施治下,彻底摆脱了折磨她长达八年之久的病痛困扰。

便民惠民守初心,勇担使命护民生 这例复杂病例的成功救治,是我院呼吸与危重症医学科诊疗实力的真实写照,更是我院学科建设的缩影。医院始终坚持以患者为中心的服务理念,深耕学科建设、精进医疗技术,聚焦疑难杂症与危急重症救治,不断优化就医流程、完善便民举措,依托多学科协作优势,为市民提供精准高效的诊疗服务,为丹东市民的健康保驾护航。