上一期“肺结节”的科普主要给大家讲解了关于“恶性肺结节”的早发现、早诊断和早治疗,那么在发现肺结节后,医生没有建议手术,这又是为什么?对于不需要手术的肺结节,我们又应该怎么做呢?我们再来看一个病例。
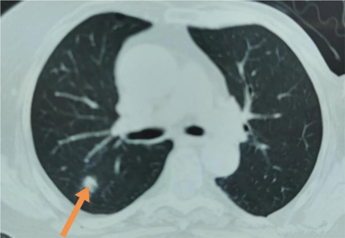
这位阿姨75岁,体检发现右肺上叶结节,直径约1.2cm,边缘欠规则,无毛刺及分叶,无胸膜牵引。体检中心的医生说,最好到正规医院看一下。

阿姨不禁有些害怕,担心自己得的是不好的病,一想到可能要做手术,心里就更是觉得发慌,毕竟一把年纪了,怕自己的身体吃不消。
阿姨带着胸部CT片子和满心的焦虑来到了丹东市第一医院胸外科门诊,我院的医生在仔细查看胸部CT后,认为单从CT影像上看,这属于一个不确定性结节,建议阿姨化验“肺小结节自身抗体检测”,看看有没有激发肿瘤免疫反应。
“肺小结节自身抗体检测”结果回报各项指标均为阴性,考虑恶性趋势不明显。结合影像学和检验学看,这个结节可以随访观察。

听到这么一说,阿姨的心里舒坦了很多,但还是有些担心,问需不需要吃点儿药。我院医生给的建议是暂时不需要任何治疗,大概率是没问题的,3个月后记得回来复查就行。回家之后和就和平时生活一样,切记一点就是千万不要让这个“小结节”影响了心情,干扰了正常生活。

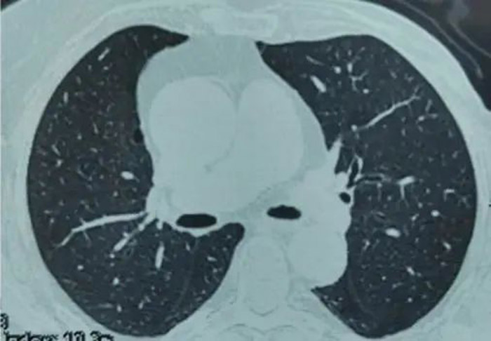
过了3个月阿姨来复查,胸部CT没有看见任何病灶,她的肺结节完全不见了。阿姨高高兴兴的离开了胸外科诊室。
在临床工作中,肺结节的检出率还是非常高的,但实际上,大部分的肺结节是良性的病变,比如:肺内炎性病灶、肺内淋巴结、肺结核以及陈旧性病灶等。一般情况下,这些结节不会引起任何临床症状,也不会对人体健康造成较大影响。所以说,并不是所有的肺结节都需要“挨一刀(手术)”。
发现肺结节而不需要手术,一般有两种情况。一种是评估肺结节不能除外恶性可能时,因结节直径较小,再结合患者的年龄、身体状况等因素综合考虑,尚可随诊观察,暂时不需要手术治疗。另外一种情况就是考虑结节良性概率大,仅需遵医嘱时间随诊观察即可。但是有一点要谨记,如果随诊观察期间结节变化明显,考虑恶性可能,仍需尽早行手术治疗,切勿掉以轻心。
那么在复查时发现结节“长大了、增多了”要不要紧?结节有变化了,就一定是肺癌吗?当然不是。在平日工作中经常有这样的患者,拿来几次复查的CT片子,是在好多家医疗机构做的,报告显示的结节数量和大小发生了变化。这主要与检查设备和报告医生的测量及主观描述有关,只有在同一机型、同一扫描条件下,尽量控制测量误差,才能确定病灶是否增大、增多,从而做出较为准确的判断。
如果发现肺结节后医生说不需要手术,除了需要遵医嘱定期复查,还需要做什么?
1.变不良生活习惯:吸烟者应戒烟,还要远离二手和三手烟。
2.远离“三霾五气”:既“雾霾、烟霾、内心的阴霾”和“大气污染、室内‘烟草气’污染、厨房‘油烟气’污染、装修‘材料气’污染、心里‘闷气’污染”。
3.养成良好的生活习惯:多吃新鲜水果、蔬菜、牛奶、瘦肉等,加强维生素及蛋白质等营养物质补充,加强体育锻炼,以维持良好的免疫力。
总而言之,发现了肺结节即不要怕,也不能掉以轻心,只有到专业医疗机构就诊,听从专业医生合理的诊疗指导意见,才能从最大程度上降低“肺结节”对我们身体和心理的危害。

2019年6月30日,“中国胸外科肺癌联盟-丹东地区肺结节诊疗会诊中心”在我院正式挂牌,这标志着我院胸外科在肺结节领域的诊疗能力与全国接轨,成为了丹东地区肺癌防治工作中的“领头人”。同期引进的“肺小结节自身抗体检测”技术,更是为肺结节性质评估提供了更加全面、准确的技术保障。
今后,我们会更加努力,运用新技术、新理念,使江城百姓在家门口就能享受到最前沿、最权威的诊疗服务,为江城百姓的健康保驾护航。